[ Новые сообщения · Участники · Правила форума · Поиск · RSS ]
 
Работай из дома! 18+

  • Страница 1 из 1
  • 1
Редкие снимки от врачей-рентгенологов. Фото
КукаДата: Понедельник, 09.12.2013, 18:38 | Сообщение # 1
Рядовой
Группа: Проверенные
Сообщений: 13
Награды: 0
Репутация: 0
Статус: Offline


 
Работай из дома! 18+
 
 


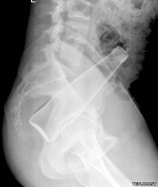
Редкие снимки от врачей-рентгенологов. Фото реальных снимков на рентгеновском аппарате.

Застрявший в прямой кишке вибратор.



Забытые во время операции хирургические ножницы



Стеклянная бутылка в заднем проходе у женщины.



Этот пациент проглотил столовые пиборы



Обычная иголка в заднем проходе ребенка.



Фото: 4421830.jpg (41.4 Kb) · 3879251.jpg (35.6 Kb) · 8116437.jpg (35.4 Kb) · 2048998.jpg (39.5 Kb) · 5572175.jpg (27.0 Kb)
 
 
КукаДата: Понедельник, 09.12.2013, 18:41 | Сообщение # 2
Рядовой
Группа: Проверенные
Сообщений: 13
Награды: 0
Репутация: 0
Статус: Offline


 
Работай из дома! 18+
 
 



Стеклянный стакан во влагалище женщины



Мужчина случайно выстрелил себе в череп гвоздем из строительного пистолета.



Вилка в черепе человека



Бутылка Coca-Cola, застрявшая в «детородном» органе



Гвозди в черепе человека.



Фото: 4125807.jpg (43.2 Kb) · 3045162.jpg (35.8 Kb) · 3901660.jpg (24.5 Kb) · 6300895.jpg (34.8 Kb) · 4274263.jpg (36.0 Kb)
 
 
КукаДата: Понедельник, 09.12.2013, 18:43 | Сообщение # 3
Рядовой
Группа: Проверенные
Сообщений: 13
Награды: 0
Репутация: 0
Статус: Offline


 
Работай из дома! 18+
 
 



Столовые приборы и зубная щетка в желудке пациента.



Бильярдный шар во влагалище.



Полицейская дубинка в заднем проходе пациента.



Фото: 4256351.jpg (17.7 Kb) · 7540271.jpg (18.6 Kb) · 8549206.jpg (11.6 Kb)
 
 
  • Страница 1 из 1
  • 1
Поиск:

Работай из дома! 18+
 
 
 
 
 
 

 
Последние темы на форуме:
 
  • Новогодние праздники 2021-2022 официальные выходные
  • Показатели давления и сердцебиения у женщины 57 лет
  • Гороскоп на декабрь 2021 Женщина Телец
  • Гороскоп на январь 2022 от Павла Глоба
  • Гороскоп на декабрь 2021 от Павла Глоба
  • Гороскоп на ноябрь 2021 от Павла Глоба
  • Стенограмма судьбы - Содержание серий, актеры и роли сериала
  • Мосгаз. Западня - Содержание серий, актеры и роли 2021
  • Тобол - Содержание серий, актеры и роли сериала. 2021
  • Гороскоп для Тигра на сегодня от Павла Глоба
  • Утраченные воспоминания - Содержание серий, актеры и роли
  • Чёрно-белая любовь - Содержание серий, актеры и роли сериала
  • Забытая женщина - Содержание серий, актеры и роли сериала
  • Тайна спящей дамы - Содержание серий, актеры и роли сериала
  • Сериал Часы с кукушкой - Содержание серий, актеры и роли
  •  
     

     
    Обращаем ваше внимание на то, что данный интернет-сайт www.kinolog.do.am носит исключительно информационный характер и ни при каких условиях не является публичной офертой, определяемой положениями Статьи 437 (2) Гражданского кодекса РФ. Цена и наличие товара может отличаться от действительной. Пожалуйста, уточняйте цены и наличие товара у наших менеджеров.
    Администрация сайта не несет ответственности за действия и содержание размещаемой информации пользователей: комментарии, материалы, сообщения и темы на форуме, публикации, объявления и т.д.
    Правообладателям | Реклама | Учебники | Политика
    Отопление, водоснабжение, газоснабжение, канализация © 2003 - 2021
    Рейтинг@Mail.ru Рейтинг арматурных сайтов. ARMTORG.RU Яндекс.Метрика